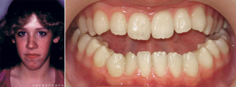
「齒列不整」就像是近視眼一樣,是個普遍常見的異常生理特徵。有些人會坦然接受它的存在,在生活中與它共存。然而也有一些人會去接受矯正治療,修正「齒列不整」。「齒列不整」到底會引發什麼樣的傷害呢(圖1)?
x.jpg)
(圖1)「齒列不整」就像是近視眼一樣,是個普遍常見的異常生理特徵。有些人會坦然接受它的存在,在生活中與它共存。然而也有一些人會去接受矯正治療,修正「齒列不整」。「齒列不整」到底會引發什麼樣的傷害呢?
介紹「齒列不整」的傷害
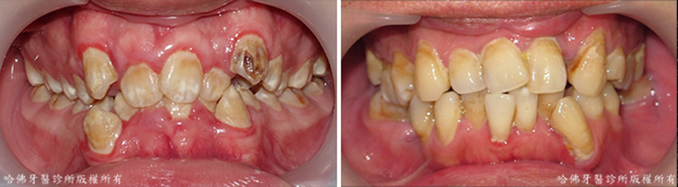
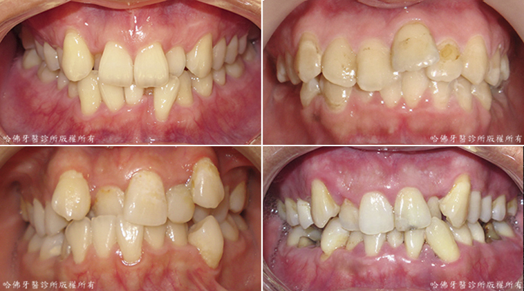
其一:蛀牙發生率上升
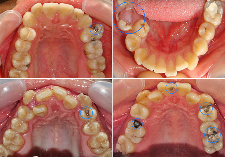
齒列不整,特別是存有牙齒擁擠的齒列不整,極易造成食物堆積的死角而引發蛀牙(圖2)。
.jpg)
(圖2)齒列不整,特別是存有牙齒擁擠的齒列不整,極易造成食物堆積的死角而引發蛀牙。藍色圈標定蛀牙位置。
當蛀牙尚在輕微的時候缺乏臨床症狀,蛀牙經常在嚴重時才出現酸痛腫脹等症狀。而當酸痛腫脹等症狀出現時,蛀牙已相當嚴重「而不」易治療(圖3)。
.jpg)
(圖3)當蛀牙尚在輕微的時候缺乏臨床症狀,蛀牙經常在嚴重時才出現酸痛腫脹等症狀。而當酸痛腫脹等症狀出現時,蛀牙已相當嚴重「而不」易治療。
其二:牙周病發生率上升
齒列不整的牙齒經常存有食物堆積的死角,而存有食物堆積的死角的牙齒則易造成清潔不易,牙齒清潔不易會促使牙齒產生牙結石與牙周病 (圖4)。
.jpg)
(圖4)齒列不整的牙齒經常存有食物堆積的死角,而存有食物堆積的死角的牙齒則易造成清潔不易,牙齒清潔不易會促使牙齒產生牙結石與牙周病。
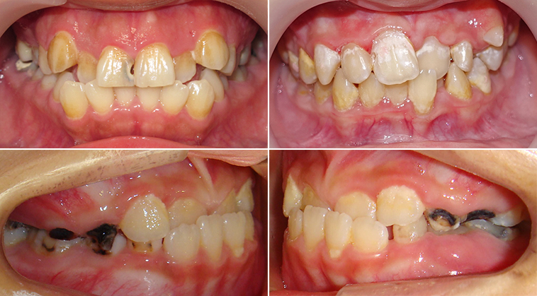
牙周病發生初期缺乏臨床症狀,當發現牙周病存在時,牙周病經常已進入嚴重狀況,齒根周邊骨骼嚴重缺失,無法支持與固定牙齒。 而最終造成牙齒鬆動或不正常移動 (圖5)。
(圖5)牙周病發生初期缺乏臨床症狀,當發現牙周病存在時,牙周病經常已進入嚴重狀況,齒根周邊骨骼嚴重缺失,無法支持與固定牙齒。藍線代表健康齒槽骨高度,紅線代表齒槽骨萎縮後高度。
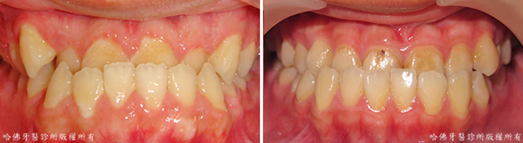
臨床上最多見的因牙周病而牙齒不正常移動案例,是上顎門齒漸漸外移。(圖6)。
(圖6)臨床上最多見的因牙周病造成牙齒不正常移動案例,使上顎門齒漸漸外移。
其三:咀嚼功能不足
許多人認為齒顎不整僅是外觀障礙,其實除了外觀障礙以外,它可引發咀嚼功能不足障礙,嚴重的咀嚼功能不足甚至可能導致腸胃疾病。
許多形態的咬合不全會引發咀嚼功能不足障礙,而「上下門齒咬合過深」是最常見的咬合功能不足症候。
「上下門齒咬合過深」之特徵是下顎門齒並非咬在上顎門齒後方的齒面,而是直接咬在「上顎門齒舌側的牙齦上」。這種錯誤咬合關係可促成如果病患勉強想要用門齒切斷食物,會造成食物撞擊「上顎門齒舌側牙齦」,而促成對「上顎門齒舌側牙齦」之傷害(圖7)。
(圖7)「上下門齒咬合過深」之特徵是下顎門齒並非咬在上顎門齒後方的齒面,而是直接咬在「上顎門齒舌側的牙齦上」。這種錯誤咬合關係可促成如果病患勉強想要用門齒切斷食物,會造成食物撞擊「上顎門齒舌側牙齦」,而促成對「上顎門齒舌側牙齦」之傷害。
再例如說「前牙錯咬」。
「前牙錯咬」是嚴重的咀嚼缺陷,它會使咀嚼時「錯咬」的前牙完全無法咀嚼食物,勉強咀嚼食物會令牙周組織產生物理傷害。最終,「前牙錯咬」可令該病患放棄整個前側牙齒的咀嚼功能(圖8)。
.jpg)
(圖8)「前牙錯咬」是嚴重的咀嚼缺陷,它會使咀嚼時「錯咬」的前牙完全無法咀嚼食物,勉強咀嚼食物會令牙周組織產生物理傷害。最終,「前牙錯咬」可令該病患放棄整個前側牙齒的咀嚼功能
再例如說「後牙錯咬」。
「後牙錯咬」也是嚴重的咀嚼缺陷,它會使咀嚼時「錯咬」的後牙完全無法咀嚼食物,勉強咀嚼食物會令牙周組織產生物理傷害。最終,一個區域性的「後牙錯咬」卻可令該病患放棄該邊整體的咀嚼功能,而因此以小失大(圖9)。
.jpg)
(圖9)「後牙錯咬」也是嚴重的咀嚼缺陷, 它會使咀嚼時「錯咬」的後牙完全無法咀嚼食物,勉強咀嚼食物會令牙周組織產生物理傷害。最終,一個區域性的「後牙錯咬」卻可令該病患放棄該邊整體的咀嚼功能,而因此以小失大。
其四:美觀障礙
社會心理學研究顯示,由美觀觀點判斷,人體在外觀中,「臉部」為影響外觀上美觀的最重要結構(圖10);而在臉部外觀中,則「微笑」與「齒列」又為影響臉部外觀的最重要結構(圖11) 。
.jpg)
(圖10)社會心理學研究顯示,由美觀觀點判斷,人體在外觀中,「臉部」為影響外觀上美觀的最重要結構。
.jpg)
(圖11) 在臉部外觀中,則「微笑」與「齒列」又為影響臉部外觀的最重要結構。
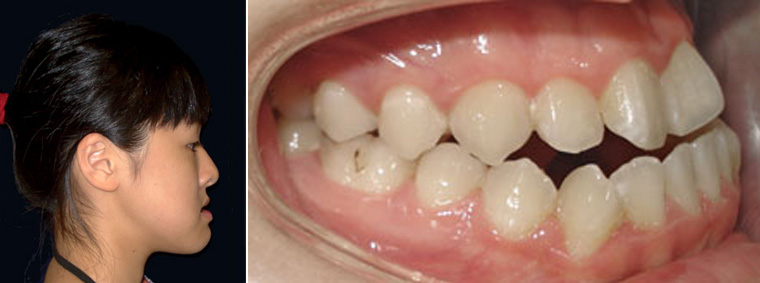
當一個人存有「齒列不整」與「顎骨發育異常」時,會明顯造成口臉部外型的不平衡與美觀障礙。社會心理學研究資料顯示,外型不平衡的臉部與微笑可能會在「交友」、「求職」、「異性社交」 或 「競爭公職」上遭遇障礙(圖12)。
(圖12)當一個人存有「齒列不整」與「顎骨發育異常」時,會明顯造成口臉部外型的不平衡與美觀障礙。社會心理學研究資料顯示,外型不平衡的臉部與微笑可能會在「交友」、「求職」、「異性社交」 或 「競爭公職」上遭遇障礙。
基於上述客觀社會文化現象,當面對嚴重的「口臉部不協調」,人們會採用一些方法改善臉部外型美觀,例如像是「臉部化妝」。但「臉部化妝」或「外科整型」存在條件上的限制,這些方法常未能有效修飾補償「口臉部不協調」所帶來的美觀障礙(圖13)。唯一有效改善明顯「口臉部不協調」的方法,只有整形手術與齒顎矯正治療。
.jpg)
(圖13)當面對嚴重的「口臉部不協調」,人們會採用一些方法改善臉部外型美觀,例如像是「臉部化妝」。但「臉部化妝」或「外科整型」存在條件上的限制,這些方法常未能有效修飾補償「口臉部不協調」所帶來的美觀障礙。
一些人對齒顎矯正治療療效有所誤解,認為它僅能排列不正常的齒列。其實,在恰當而計劃周全的齒顎矯正治療中,令「齒列正常排列」僅是治療最基本的能力。齒顎矯正治療除了能有效更正「排列不良的齒列」外,也能與透過對顎骨的生長刺激式抑制,改善顎骨缺陷引發的美觀不協調。此外,齒顎矯正治療也可與口腔外科醫師合作,利用正顎手術改善「發育異常的顎骨」。這種顎骨改善的手術也可明顯改良臉部外觀與微笑(圖14)。
x.jpg)
(圖14)齒顎矯正治療可與口腔外科醫師合作,利用正顎手術改善「發育異常的顎骨」。左圖:治療前;右圖:治療後。
易引起臉型與微笑不平衡的症候
「齒顎不整」存在著不同型態的症候,有些症候與健康及功能有關,也有一些症候與臉型「及微笑美觀有關。往下,我想舉些例子談一些與臉型與微笑美觀有關的症狀。
「亞當氏症候群」
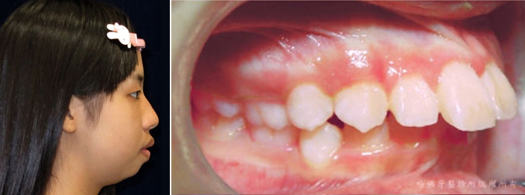
在台灣有許多幼童在青春期前期,即呈現了「亞當氏症候群」的病症。「亞當氏症候群」出現明顯的「鼻腔過敏」、「鼻塞」、「口呼吸」、「下顎骨生長不全」、「上唇與上面的牙齒外暴」與「嘴唇水腫」,這類臉型的異常在外觀上呈現不協調平衡的狀態(圖15)。
(圖15)在台灣有許多幼童在青春期前期,即呈現了「亞當氏症候群」的病症。「亞當氏症候群」出現明顯的「鼻腔過敏」、「鼻塞」、「口呼吸」、「下顎骨生長不全」、「上唇與上面的牙齒外暴」與「嘴唇水腫」,這類臉型的異常在外觀上呈現不協調平衡的狀態。
如果「亞當氏症候群」可在青春前期及早被發現治療 ,可藉由治療刺激與增加下顎骨的前向生長(圖16)。
(圖16)如果「亞當氏症候群」可在青春前期及早被發現治療 ,可藉由治療刺激與增加下顎骨的前向生長。
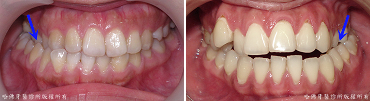
上下顎門齒外突
例如上下顎門齒外突。
許多中國人存有「上下顎門齒外突」的症候,當「上下顎門齒外突」存在時,它必定伴隨著與上下顎門齒相關的「上下顎齒槽骨前突」。存在「上下顎齒槽骨前突」的病友在側面臉型必定呈現「明顯外突的上下唇」與「嘴唇閉合困難」。此外,它多數伴隨著張口微笑時上牙齦暴露過多(圖17)。
.jpg)
(圖17)許多中國人存有「上下顎門齒外突」的症候,當「上下顎門齒外突」存在時,它必定伴隨著與上下顎門齒相關的「上下顎齒槽骨前突」。存在「上下顎齒槽骨前突」的病友在側面臉型必定呈現「明顯外突的上下唇」與「嘴唇閉合困難」。此外,它多數伴隨著張口微笑時上牙齦暴露過多。
下顎骨發育不足
舉下顎骨發育不足為例。
在台灣有許多的「齒顎不整」存在著「下顎骨發育不足」的症候。當患者存在「下顎骨發育不足」症候時,由於下顎骨過度內縮,會令下顎門齒也極度內縮,而促使下顎門齒與上顎門齒呈現過大距離。 這個門齒間過大距離令上顎門齒顯得更加明顯往前傾斜,也令嘴唇閉合困難(圖18)。
.jpg)
(圖18)在台灣有許多的「齒顎不整」存在著「下顎骨發育不足」的症候。當患者存在「下顎骨發育不足」症候時,由於下顎骨過度內縮,會令下顎門齒也極度內縮,而促使下顎門齒與上顎門齒呈現過大距離。 這個門齒間過大距離令上顎門齒顯得更加明顯往前傾斜,也令嘴唇閉合困難。
下顎骨發育過多
再舉下顎骨發育過多的例子。
「下顎骨發育過多」在中國人極常見,它被俗稱為「戽斗」。 下顎骨由於發育過多或過快,除了臉型上呈現過大的下巴之外,下門齒也往前躍進到上門齒的前方,而與上門齒呈現反咬狀態。前齒反咬除了會令前牙咀嚼功能被嚴重傷害之外,也傷害到臉部的美觀與平衡感(圖19)。
.jpg)
(圖19)「下顎骨發育過多」在中國人極常見,它被俗稱為「戽斗」。 下顎骨由於發育過多或過快,除了臉型上呈現過大的下巴之外,下門齒也往前躍進到上門齒的前方,而與上門齒呈現反咬狀態。前齒反咬除了會令前牙咀嚼功能被嚴重傷害之外,也傷害到臉部的美觀與平衡感。
長臉症候群
再談長臉症候群。
長臉症候群的病患較少見,它多伴隨著長臉與門齒開咬(門齒無法閉合)。當臉部的長度過長,而過長的臉部令臉部長寬比例過度偏離正常值時,過長的臉部會傷害臉部的美觀與平衡感(圖20)。
.jpg)
(圖20)長臉症候群的病患較少見,它多伴隨著長臉與門齒開咬(門齒無法閉合)。當臉部的長度過長,而過長的臉部令臉部長寬比例過度偏離正常值時,過長的臉部會傷害臉部的美觀與平衡感(圖20)。
短臉症候群
短臉症候群的病患也較少見,它多伴隨著長臉與上下顎門齒深咬。當臉部的長度過短,而過短的臉部令臉部長寬比例過度偏離正常值的時候,過短的臉部會傷害臉部的美觀與平衡感(圖21)。
.jpg)
(圖21)短臉症候群多伴隨著長臉與上下顎門齒深咬。當臉部的長度過短,而過短的臉部令臉部長寬比例過度偏離正常值的時候,過短的臉部會傷害臉部的美觀與平衡感。
其五:閉嘴困難與口乾
有許多咬合不全的症候,例如像是嚴重的上顎門齒外突、嚴重的下顎骨外突、「亞當式症候群」等等, 由於門齒或顎骨外突,會致使嘴唇閉嘴不易。嘴唇閉嘴不易可直接導致口乾與口呼吸(圖22)。
.jpg)
(圖22)有許多咬合不全的症候,例如像是嚴重的上顎門齒外突、嚴重的下顎骨外突、「亞當式症候群」等等, 由於門齒或顎骨外突,會致使嘴唇閉嘴不易。嘴唇閉嘴不易可直接導致口乾與口呼吸。
其六:牙齒異常磨損
錯誤的上下顎齒弓關係,易造成牙齒異常快速的磨損。例如說,上下顎犬齒經常在錯誤的咬合關係下可發現異常快速的磨損(圖23)。異常的牙齒磨損可能造成咀嚼能力的缺失與美觀障礙。
.jpg)
(圖23)錯誤的上下顎齒弓關係,易造成牙齒異常快速的磨損。例如說,上下顎犬齒經常在錯誤的咬合關係下可發現異常快速的磨損。
其七:發音異常
錯誤的上、下顎齒弓關係,例如開咬,易造成發音時由於前側咬合與嘴唇封閉不良,造成有些屬性的聲音發音異常(圖24)。
.jpg)
(圖24)錯誤的上、下顎齒弓關係,例如開咬,易造成發音時由於前側咬合與嘴唇封閉不良,造成有些屬性的聲音發音異常。
其八:顳顎關節病變
錯誤的上顎與下顎間的齒弓關係,例如像是錯咬、深咬或反咬,易造成咀嚼時由於牙齒障礙促成下顎骨不正常的咀嚼運動。下顎骨不正常的咀嚼運動會促使產生不恰當的咬合壓力,該咬合壓力會傳送到顳顎關節,令顳顎關節常得承受由咀嚼傳送來的異常壓力 (圖25)。
.jpg)
(圖25)錯誤的上顎與下顎間的齒弓關係,例如像是錯咬、深咬或反咬,易造成咀嚼時由於牙齒障礙促成下顎骨不正常的咀嚼運動。下顎骨不正常的咀嚼運動會促使產生不恰當的咬合壓力,該咬合壓力會傳送到顳顎關節,令顳顎關節常得承受由咀嚼傳送來的異常壓力 。
顳顎關節如積壓過久,則易造成顳顎關節病變,例如像是顳顎關節疼痛、咀嚼疼痛、張嘴不易與進食困難等問題(圖26)。
.jpg)
(圖26)顳顎關節如積壓過久,則易造成顳顎關節病變,例如像是顳顎關節疼痛、咀嚼疼痛、張嘴不易與進食困難等問題。
近代顳顎關節醫學相關研究顯示,引發顳顎關節病變的源頭是「多因素」 (Multifactorial) 的,而「咬合不正」不見得是引發「顳顎關節不適」的唯一病因。在眾多發病因素中,研究顯示「顳顎關節不適」極可能是生活與工作所產生之長期心靈壓力有關(圖27)。
.jpg)
(圖27)近代顳顎關節醫學相關研究顯示,引發顳顎關節病變的源頭是「多因素」 (Multifactorial) 的,而「咬合不正」不見得是引發「顳顎關節不適」的唯一病因。在眾多發病因素中,研究顯示「顳顎關節不適」極可能是生活與工作所產生之長期心靈壓力有關。
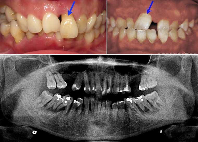
其九:門齒外傷
牙齒遭受外力衝擊時有受傷的可能(圖28)。
.png)
(圖28)牙齒遭受外力衝擊時有受傷的可能。
然而當牙齒排列整齊時,面對外力衝擊會集體對抗外力,而造成牙齒受傷或斷裂的機會比較小。然而當牙齒排列不整,例如門齒外暴的時候,當少數牙群面對外力撞擊時,會比較容易受傷或斷裂(圖29)。
.jpg)